Partenariats

Partenariats passés et existants

Domaines de collaboration 

Superbranche, ouvert à l’innovation en imagerie et thérapies avancées

Acteur clé dans le développement de traceurs de nouvelle génération, Superbranche s'engage à faire progresser les technologies d’imagerie médicale pour répondre aux enjeux de la médecine de demain.
Notre expertise en nanotechnologie appliquée à l'imagerie IRM et MPI (Magnetic Particle Imaging) nous positionne comme un partenaire stratégique pour les plateformes de recherche académiques, les bioproducteurs de médicaments de thérapies innovantes (MTI), les entreprises biotechnologiques et l'industrie pharmaceutique.

Nous sommes particulièrement ouverts à des collaborations dans les domaines suivants :

  • La validation préclinique de stratégies de thérapies innovantes (par cellules ou vésicules) : nous proposons des outils pour évaluer le tropisme vers les sites d'intérêts, la biodistribution par imagerie quantitative et la fonctionnalité des cellules thérapeutiques avant leur passage en essais cliniques
  • Le marquage in vitro et le suivi in vivo en temps réel par imagerie magnétique appliqué aux cellules souches, cellules pluripotentes induites (iPSCs) ou au vésicules extracellulaires (exosomes).
  • Le co-développement de solutions intégrées pour la médecine de précision, alliant diagnostic, imagerie fonctionnelle, et ciblage thérapeutique.

Notre plateforme technologique et notre ouverture à la co-innovation font de Superbranche un partenaire agile et engagé dans le progrès biomédical.

Viabilité cellulaire sur cellules stromales mésenchymateuses humaines issues de 3 donneurs (hASC1, hASC2 et hASC3) après 0, 1 et 7 jours post-internalisation des SUPERSPIO20. Crédit:  Claire Abeza, Plateforme de recherche ECELL France Montpellier
Viabilité cellulaire sur cellules stromales mésenchymateuses humaines issues de 3 donneurs (hASC1, hASC2 et hASC3) après 0, 1 et 7 jours post-internalisation des SUPERSPIO20. Crédit:  Claire Abeza, Plateforme de recherche ECELL France Montpellier
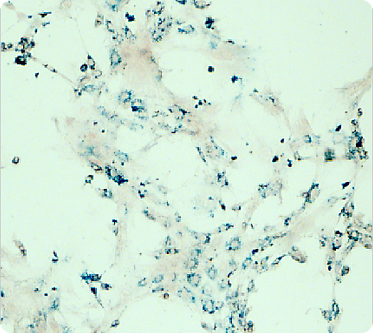
hMSCs marquées par SUPERSPIO. Crédit: JWM Bulte, JHU
hMSCs marquées par SUPERSPIO. Crédit: JWM Bulte, JHU

Johns Hopkins University

Partenaire historique de Superbranche, notre collaboration étroite dans le domaine de l’imagerie cellulaire a permis de démontrer la sensibilité supérieure de notre technologie SUPERSPIO par rapport aux traceurs actuellement commercialisés, avec plusieurs études menées sur des EVs derivées d’iPSCs et des NPCs derivées d’iPSCs ou une performance de SUPERSPIO20 environ 20 % supérieure à celle du produit de référence.

Ces résultats soulignent le potentiel unique de SUPERSPIO dans les approches de médecine régénérative et de suivi cellulaire in vivo.

Partenaires Régulation Finances et Administration

Partenaires académiques

Partenaires financeurs

Nous contacter

Vous souhaitez en savoir plus ou initier une collaboration ?
N'hésitez pas à nous écrire, notre équipe se fera un plaisir de vous répondre dans les plus brefs délais.